티스토리 뷰
목차
반응형
🩺 대상포진 초기증상 치료방법 – 이렇게 시작됩니다
대상포진 초기증상 치료방법, 제대로 알고 계신가요? 그리고 어떤과에서 진료를 받아야 하는지도 알고 계신가요?
대상포진은 조기 대응이 무엇보다 중요한 질환입니다. 특히 ‘대상포진 초기증상 치료방법’에 대한 이해가 부족하면, 회복 기간이 길어지고 신경통 후유증(PHN)까지 이어질 수 있습니다.
찌릿한 통증이나 원인을 알 수 없는 피부 자극감이 느껴진다면, 이미 대상포진이 시작되었을 가능성이 높습니다. 이 글에서는 초기에 놓치기 쉬운 증상, 어떤 병원 어떤과를 가야 하는지, 언제 치료를 시작해야 하는지 구체적으로 안내해드릴게요.

🧠 대상포진이란?
- 수두를 유발한 Varicella-Zoster 바이러스가 신경에 잠복했다가 면역력 저하 시 다시 활성화되어 생기는 질환입니다.
- 한쪽 몸에 띠 모양으로 통증과 물집이 발생하는 것이 특징입니다.



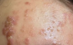
🔍 대상포진 초기증상 – 이렇게 시작됩니다
| 증상 단계 | 설명 |
|---|---|
| 0단계: 전조증상 | 감기처럼 피로하거나 몸살기 있음. 열은 거의 없지만, 피곤하고 어딘가 이상한 느낌이 듭니다. |
| 1단계: 통증 및 감각 이상 | 찌릿찌릿하거나 타는 듯한 통증, 벌레가 기어가는 느낌, 감각 둔화 또는 과민이 몸의 한쪽 부분에 국한되어 발생합니다. |
| 2단계: 발진과 물집 발생 | 통증 부위에 붉은 반점과 물집이 줄지어 생깁니다. 대개는 가슴, 등, 허리, 얼굴 한쪽 등입니다. |
🟠 주의: 물집이 나타나기 전부터 통증이 시작되는 경우가 많아 단순한 근육통으로 오해하기 쉽습니다.




🏥 어떤 병원에 가야 하나요?
초기 치료 타이밍이 중요합니다. 증상 발생 72시간(3일) 이내에 항바이러스제 투약을 시작해야 후유증을 줄일 수 있습니다.
진료받을 수 있는 병원 종류:
| 병원 유형 | 진료 내용 |
|---|---|
| 🩻 가정의학과 / 내과 | 초기 진단 및 항바이러스제 처방 |
| 🧠 신경과 / 통증의학과 | 신경통 관리 및 만성 통증 케어 |
| 🩹 피부과 | 피부 증상 중심의 진료, 물집·딱지·흉터 케어 |
| 🏥 대학병원 감염내과 | 고령자·면역저하자 고위험군 진료 |
TIP: 일반 내과나 피부과에서 먼저 진단받고, 신경과로 연계받는 것이 일반적인 절차입니다.
💊 치료방법 요약
| 치료 항목 | 설명 |
|---|---|
| 항바이러스제 | 발라시클로버, 팜시클로버 등 – 가능한 한 빠르게 복용 시작해야 함 |
| 진통제/신경통 약물 | 이부프로펜, 프레가발린 등 |
| 예방접종 | 50세 이상 대상포진 백신 접종 권장 (Shingrix) |
🔚 마무리 – “통증이 시작됐다면 늦기 전에 병원으로!”
- 대상포진 초기증상 치료방법에 대한 빠른 대응은 예후를 바꿉니다.
- 피부에 이상이 없어도, 통증이 한쪽에 집중되어 있다면 무조건 병원을 방문하세요.
- 특히 눈 주위, 얼굴 부위에 발진이 생긴 경우엔 즉시 진료를 받아야 시력 손상을 피할 수 있습니다.
📌 추가 정보가 필요하신가요?
- ✔ 대상포진 예방접종 시기 및 비용 안내
- ✔ 대상포진 vs 단순 피부질환 비교
- ✔ 대상포진 후 신경통 관리법 (온찜질, 운동, 약물 등)
반응형